Вскрытие показало - Страница 6 - Темы Наталии Детиновой (deta) - Грибы средней полосы Перейти к публикации
=SM=

Вскрытие показало

Рекомендованные сообщения

Deta
32 минуты назад, =SM= сказал:

Так что, просто оксипорус корковый. Нормальный.

Был бы нормальный. не было бы такой головной боли. Но про боль уже поутру)))

Поделиться сообщением


Ссылка на сообщение
Поделиться на других сайтах
=SM=

Если банальный оксипорус умудрился выносить мозг года три, и еще потребовать четырех микроскопических исследований, то "мучная говорушка из ельника 09.2020" определилась однозначно и бесповоротно за 10 минут измерением десятка спор. Хотя, на сколько я помню, она была по описанию не "слабопахучая", а "неслабо пахучая". Одно не понимаю. Вы же их сеяли. А самое главное для определения говорушек - отсев - не положили в коробочку. Выковыривал с трудом единичные споры, да еще и не агглютинирующие, из пластинок. Повезло, что она одна такая мелкоспоровая, не надо статистику набирать.

 

Clitocybe ditopa.

 

clit30_pixi.thumb.jpeg.af8860f4cafd7d240a4382a79b5c5223.jpeg

  • Спасибо! 1

Поделиться сообщением


Ссылка на сообщение
Поделиться на других сайтах
Deta
37 минут назад, =SM= сказал:

Вы же их сеяли.

Сеять - то сеяла...  Но когда группе хвостатых товарищей полностью доступно жизненное пространство, все бывает сметено могучим ураганом))) Они у меня с полки три телевизора скинули, причем не плазменных, а обычных старых с кинескопом. Последний покупала специально весом 25 кг. Но и это не спасло. С тех пор уже много лет живу вообще без зомбоящика - и ни капли не жалею. А что такое отсев или высушенный образец? Прыгнул. хвостом махнул и ищи-свищи... нельзя с ними, с котами,  расслабляться, но все равно случается. 

 

Да,и насчет злокозненного оксипоруса. Кажется мне, что он в равной степени по микроскопии может быть и Oxyporus latemarginatus. Вернее, уже Emmia, совершенно оксипорусу не родственная.  И это мне больше импонирует. Я свои доводы еще раз приведу, но уже, скорее всего, не сегодня. 

  • Нравится 1

Поделиться сообщением


Ссылка на сообщение
Поделиться на других сайтах
=SM=
33 минуты назад, Deta сказал:

что он в равной степени по микроскопии может быть

Нет, и категорически!  Я его очень плотно вчера рассматривал.

- Форма базидий не его (ему положены булавовидные 15-20х5-7, а тут "бочкообразные" вокруг 10 - 13.5 × 7.3 - 7.8)

- Вид кристаллов на цистидах не его. 

- У этого не должно быть глеоцистид, коих тут в немеренном изобилии разной формы.

- ширина гиф у этого описана как 4-8, тут имеем 1.7-4.5

 

Screenshot_528.thumb.jpg.42ec6656d15ed8c54b77293737a5737e.jpg

 

Цитирую Piątek, Marcin. (2003). Notes on Polish polypores. 2. Oxyporus latemarginatus. Polish Botanical Journal. 48. 63-68. :

 

Under the microscope O. latemarginatus is immediately distinguished from O. corticola by the presence of only one type of cystidia and by the size and shape of the basidiospores, which are narrowly ellipsoid and always single. In contrast, Oxyporus corticola has ovoid basidiospores often glued in groups of 2–4, and gloeocystidia in addition to encrusted cystidia typical for the genus Oxyporus (Bourdot & Galzin) Donk.

 

Имеем все указанные отличия в полном объеме, даже споры, склонные к агглютинации, о чем я не говорил, но расклеивать их умумукался для измерений:

Screenshot_529.thumb.jpg.13250ea75f45d6ed3fb417b161f7461e.jpgScreenshot_530.thumb.jpg.f577d39c520a80ab7aaeaaf9cf3714dd.jpgScreenshot_531.thumb.jpg.66939fab6ed8bc4c159323f1be52c7f4.jpgScreenshot_532.thumb.jpg.1e758c8828a568346cc864797d9eb62f.jpg

 

 

Так что, забудьте эту версию напрочь. Это Oxyporus corticola, и всё тут. Вердикт окончательный и обжалованию не подлежит.

 

  • Класс!!! 3

Поделиться сообщением


Ссылка на сообщение
Поделиться на других сайтах
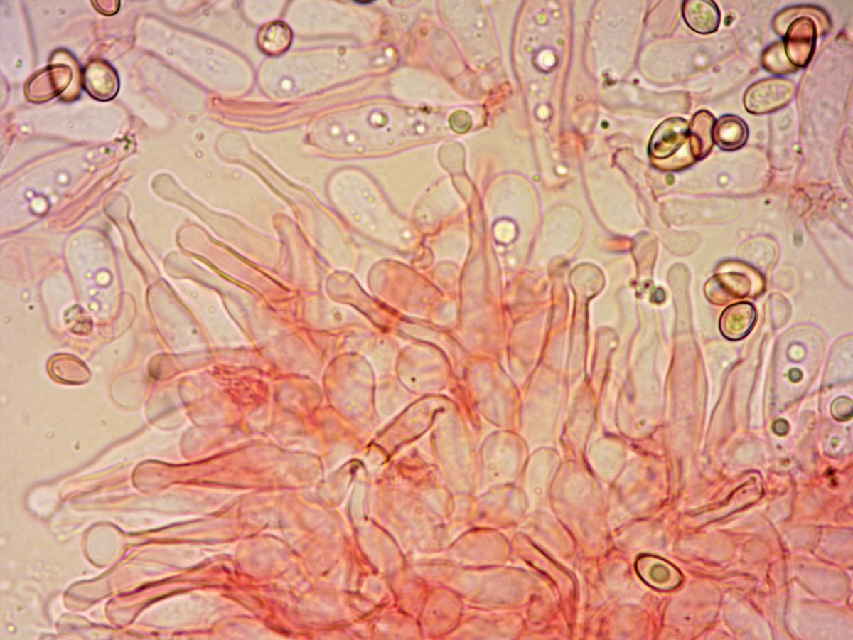
=SM=

"желтоватый гриб с мучным запахом из сосен"

 

Вот я ему споры померил.

yellfung31_pixi.thumb.jpeg.9260e9fc4d3f36cdfdbbd5f409f7808d.jpeg

 

Выяснил, что они гиалиновые.

Screenshot_533.thumb.jpg.8ea333e73343802cb8240a649a727a9b.jpgScreenshot_534.thumb.jpg.385528f0c5ed812ba5ef121156a4de30.jpg

 

Нашел разные базидии, и 2, и 4 сп.  Нашел редкие, скорее единичые, волосоподобные цистидообразности на краю пластинки (не факт, что диагностические).

Screenshot_535.thumb.jpg.cd51536e0f5398798ae6812e36180153.jpgScreenshot_536.thumb.jpg.c02552a908b52d47c447a6e7571c88b8.jpgScreenshot_537.thumb.jpg.907cc8a4be727825f395ce445f65a0ba.jpgScreenshot_538.thumb.jpg.5ba6f0eaacabfe3e5df27baaadf0a9ee.jpg

 

 

И, увы, это мне пока ничего особо не дало... Покажите пожалуйста макропризнаки, хочу определиться с дальнейшей стратегией вскрытия.

 

 

Поделиться сообщением


Ссылка на сообщение
Поделиться на других сайтах
Deta

Это из последних ноябрьских находок.

 

 

10.11.2020 в 17:23, Deta сказал:

В соснах при выискивании мицен наткнулась вот на такой желтый гриб не более 2 см в диаметре. Пах он мукой, причем сильно. В 20 саниметрах росли светлые грибочки и тоже с мучным запахом. Надеюсь, это одно и то же. Образцы взяла. Споровый порошок добывала со светлого гриба. Он оказался практически белым, правда отсеялся слабо.

IMG_0871.thumb.JPG.c85c91212227994c434f4a4ccf7d5969.JPGIMG_0872.thumb.JPG.bb8ce200cf902f00eac455c5895eff6d.JPGIMG_0873.thumb.JPG.b2a17d069cd4f55988f99fe043e2089e.JPG

 

IMG_0874.thumb.JPG.ab39fe49217d55e9a3b8a4d9440ab69e.JPGIMG_0875.thumb.JPG.695bb4f481e5d4804c3af5a88d2de651.JPGIMG_0876.thumb.JPG.f0f733fc91982115184f2b75404e667b.JPG

 

В коробочке должно быть два гриба - желтый и белесый.

Поделиться сообщением


Ссылка на сообщение
Поделиться на других сайтах
=SM=
53 минуты назад, Deta сказал:

В коробочке должно быть два гриба - желтый и белесый.

 

Ах вот оно как... То был "белесый". И пока я не понимаю куда с ним тыкаться дальше. Кстати, отсева тоже не нашел. Фольговый конвертик есть, а в нем пусто.

 

С желтым все просто как раз-два. Это нехарактерное дистрофичное ПТ всё той же галерины - G.sideroides. Даже со значительно более точно попавшими в точку спорами. По крайней мере, по FN без вариантов именно так - там всего два вида с "Cystidia tibiiform" и Sp.<8um. Можно, конечно, попробовать покопать глубже, но не думаю, что оно того стоит, при условии такого точного попадания в FN

galer32_pixi.thumb.jpeg.cb4fd9b96e059ef9c29b6fc5901b392a.jpegall-100x-0056.thumb.jpg.e045284ecfd05ca72fa7025622c948af.jpgall-gsm-100x-0070.thumb.jpg.e4bb5a4b310f58c3acd081e3e92031c9.jpg

 

 

  • Спасибо! 1

Поделиться сообщением


Ссылка на сообщение
Поделиться на других сайтах
Deta
2 минуты назад, =SM= сказал:

Это нехарактерное дистрофичное ПТ всё той же галерины - G.sideroides.

 

Чудеса - галерину в этом грибе я никак не могла заподозрить, да и рос он, как виделось,  на почве. Пожалуй, ради единичной находки не стоит дальше возиться. 

Поделиться сообщением


Ссылка на сообщение
Поделиться на других сайтах
=SM=
2 минуты назад, Deta сказал:

да и рос он, как виделось,  на почве

Для этого вида это нормально, "на почве" - его устраивают не только бревна и пни, а и иголки, шишки, веточки, стружки, опилки - любой хвойный хлам, погребенный или нет. Возможно, он такой задохлый именно по причине субстрата - например одна иголка закопанная.

Поделиться сообщением


Ссылка на сообщение
Поделиться на других сайтах
=SM=

@Deta 

По поводу серого - есть версия Tephrocybe platypus. Микроскопия в первом приближении хорошо сошлась, как минимум вот с этим - https://www.mycocharentes.fr/pdf1/2552.pdf

 

Кстати, а оказывается я там сразу писал, что не могу поверить, что это один вид ;)

Поделиться сообщением


Ссылка на сообщение
Поделиться на других сайтах
Deta

Макропризнаки Tephrocybe platypus какие-то не те...

Поделиться сообщением


Ссылка на сообщение
Поделиться на других сайтах
=SM=
16 минут назад, Deta сказал:

какие-то не те...

А что не то? Вроде всё примерно сходится с FN:

Screenshot_539.thumb.jpg.d63178440214cea5786974cff3439d77.jpg

 

В любом случае, это тефроцибе. Но вот другого варианта с такой цилиндрической формой и размером спор я не нашел (и не только среди светлых, как этот). Может, у Вас лучше получится.

Поделиться сообщением


Ссылка на сообщение
Поделиться на других сайтах
Deta

Именно. что примерно. У итальянцев пруина указана на шляпке. И растут они на листьях. А у меня под соснами. В запахе не были никакого rancid, только farinaceous.

https://www.funghiitaliani.it/topic/90579-tephrocybe-platypus-kuhner-mm-moser-1967/

Сомневаюсь я, но на дальнейшем определении не настаиваю.

Поделиться сообщением


Ссылка на сообщение
Поделиться на других сайтах
erlin
2 часа назад, =SM= сказал:

С желтым все просто как раз-два. Это нехарактерное дистрофичное ПТ всё той же галерины - G.sideroides. Даже со значительно более точно попавшими в точку спорами. По крайней мере, по FN без вариантов именно так - там всего два вида с "Cystidia tibiiform" и Sp.<8um.

У экземпляра Натальи, шляпка сильно стриатная, не меньше чем до половины радиуса. А это как раз таки признак второго вида - G.camerina.

Вот здесь у чехов чуть иначе микропризнаки поданы...

https://botanika.prf.jcu.cz/mykologie/engalerina.html

Во всяком случае я бы не исключал вероятность второго вида.

Поделиться сообщением


Ссылка на сообщение
Поделиться на других сайтах
=SM=

@erlin 

IMHO, кроме размера спор, между этими видами кардинальная разница в степени эллипсоидальнсти - т.е. в Q, поэтому я не особо верю в эту версию. Плюс еще, т.е. минус, это "summer to autumn, with maximum in early autumn;", а дата находки -  10 ноября (по крайней мере отчета).

 

Хотя, конечно, два разных, и при том интересных вида галерин найти вот так почти сразу - было бы интересно!

Поделиться сообщением


Ссылка на сообщение
Поделиться на других сайтах
=SM=
46 минут назад, Deta сказал:

И растут они на листьях. А у меня под соснами.

А Вы их перенесли для фото в другое место? А то на фото листьев больше, чем иголок.

Про запах - так и у "ранциды" запах никакой не ранцид, а просто мучной, как у подвишня...

 

Вот я еще каулоцистиды сфотографировал ей. Трудно ищутся. Точнее, трудно тонкий слой кутикулы снять с регидратированного кусочка сухого гриба.

cau-60x-0001.thumb.jpg.3048c5aecb098a822bb6254bbec71d78.jpgcau-60x-0002.thumb.jpg.b329f37ee63ac9c2bed1f4e384afdf12.jpgcau-60x-0004.thumb.jpg.a842998bd2f081cff6e6bdb8160aa3ec.jpg

 

Надо наверное на секвенирование, что ли, ее отправить. Вместе с то-ли псевдо, то-ли не псевдо беоспорой. Я пока так и не нашел ничего иного в тефроцибах  с этой формой спор - а ведь это первично, найти другого кандидата такого.

Поделиться сообщением


Ссылка на сообщение
Поделиться на других сайтах
Deta

Не нужно секвенировать, только деньги тратить.  Если сложится,  поищу их на следующий год - может что-то более внятное вырастет. Нужно только про них не забыть.  Я обычно на одиночные и невыразительные незнакомые грибы особо на зарюсь и на определение не рассчитываю. Просто тут уже почти последний день был до мороза, вот и повелась все подряд хватать))) Был бы он массовый или хотя бы группой рос, тогда можно были бы и поупираться рогом. А без возрастной изменчивости трудно о грибе получить необходимую информацию. 

А у ранциды запах бывает разный - и просто мучной, но и на редкость противный тоже. Когда я ее впервые нашла, она была вонючая донельзя.

Беоспору хорошо бы до ума довести, очень уж она необычная. 

Поделиться сообщением


Ссылка на сообщение
Поделиться на других сайтах
=SM=

Мелкоразмерная "энтолома", специально для меня собранная, оказалась все таки арренией. Вот облом то... А я уверен ведь был в энтоломе, наверное как Наталья в не-оксипорусе. Жаль, конечно. Придется продолжить пристрастные поиски подобных энтолом в следующем году. Это "пунктик", омфалиноиды, и энтоломы особенно. Так что мечта увидеть подобную энтолому, пусть даже сухую, осталась мечтой...

 

С такими большими в максимуме спорами,  с голыми ногами, без цистид и с большим кол-вом двуспоровых базидий - у меня версия лишь одна - Arrhenia obscurata. Хотя внешне как-то не особо. Тут я даже и не знаю, что бы еще проверить, нету у меня хорошей литературы по аррениям.

arr33_pixi.thumb.jpeg.cef1c39dd3d185a1a06c111daf4f5b21.jpeg

 

Пожалуй, на это год хватит....

 

Поделиться сообщением


Ссылка на сообщение
Поделиться на других сайтах
=SM=

Белая тубария не хочет определяться. Форма спор и цистид соответствует отрубистой, но споры мельче. Другим тубариям из FN не соответствует форма спор или цистид. Ну и она конечно же тубария без кавычек.

tub34_pixi.thumb.jpeg.375708b9ab8fc3678448d8acb779b69b.jpegall-gsm-60x-0020.thumb.jpg.5346d4f0ebaa5f34427340c6972a9775.jpgall-60x-0003.thumb.jpg.139f54f7f341b097891b79352509252f.jpg

  • Спасибо! 1

Поделиться сообщением


Ссылка на сообщение
Поделиться на других сайтах
=SM=

Продолжаю возню с тубарией. Мысли крутились сначала вокруг T.hololeuca. Затем нашлась некая Hebelomina microspora Huijsman 1978, non H. microspora Alessio and Nonis 1977 = H.neerlandica, которая вообще гимнопил по факту, и, как бы, неплохо сходится по микроскопии. Однако помещение препарата в Мельцер ВРОДЕ показало слабую амилоидность спор, но явно не декстриноидноисть, о которой указано в статье об этом виде из Украины. Да и базидии не той формы.

mlz-40x-0001.thumb.jpg.2274d7dfa683245aae5844f36e00d6e5.jpgmlz-40x-0002.thumb.jpg.34cd289589740f35a4bcf67c4e262ce8.jpg

 

Пока одна рабочая версия Tubaria hololeuca. То, что написано у Bon 1992, вроде похоже. Размер спор близок, цистиды правда вот тонковаты.

Вторая версия - белая форма отрубистой s.l.. Такие случаи описаны, и также описаны отрубистые с таким размером спор.

Я не смогу принять решение по этой тубарии.

Поделиться сообщением


Ссылка на сообщение
Поделиться на других сайтах

×
Яндекс.Метрика